
- Vol 36 No 5
- Volume 36
- Issue 5
Fever, conjunctivitis, rash, and belly pain
A 3-year old male presents with 3 days of fever (maximal temperature, 105°F), diffuse abdominal pain, and several episodes of nonbilious, nonbloody emesis and loose nonbilious, nonmucousy stools. On day 3 of illness, he was seen at an urgent care clinic where he was diagnosed with acute otitis media and prescribed amoxicillin and ondansetron. He could not tolerate any oral intake and developed red eyes, abdominal pain, and redness of his hands and feet. Later that same night, he presented to the pediatric emergency department and was admitted to the pediatric ward for management of his fever, abdominal pain, and dehydration.
The case
A 3-year old male presents with 3 days of fever (maximal temperature, 105°F), diffuse abdominal pain, and several episodes of nonbilious, nonbloody emesis and loose nonbilious, nonmucousy stools. On day 3 of illness, he was seen at an urgent care clinic where he was diagnosed with acute otitis media and prescribed amoxicillin and ondansetron. He could not tolerate any oral intake and developed red eyes, abdominal pain, and redness of his hands and feet. Later that same night, he presented to the pediatric emergency department (ED) and was admitted to the pediatric ward for management of his fever, abdominal pain, and dehydration.
On examination, the child was notably unhappy and difficult to console. His eyes were crusted and injected bilaterally, and he had scleral icterus. His lips were erythematous and dry, and his tongue and tonsils were injected. He had no tonsillar enlargement or exudate.
His heart rate was increased, and he had a +1/6 systolic ejection murmur. His abdomen was diffusely tender to palpation, without rebound, guarding, organomegaly, or masses. His skin was covered with an erythematous macular papular rash on his entire body, and he showed moderate jaundice. He had no lymphadenopathy.
The boy’s labs were notable for a normal basic metabolic profile, but abnormal liver function testing included an alanine aminotransferase (ALT) of 249 and total bilirubin of 7.4 with a conjugated bilirubin level of 5.9. His total protein was increased at 6.3 but his albumin was low at 2.9. His C-reactive protein (CRP) was significantly elevated at 17.58. His clean-catch urinalysis showed small leukocytes and white blood cells of 50 to 100. His abdominal ultrasound was negative except for bladder wall thickening. Blood, stool, and urine cultures were sent due to his high fever.
Hospital course 1
The patient was resuscitated with intravenous (IV) fluids and started on IV piperacillin and tazobactam empirically for systemic inflammatory response syndrome (SIRS) in the setting of bacteremia or viremia. Given his high fever and gastrointestinal (GI) symptoms of abdominal pain and diarrhea, his differential diagnosis included bacteria (such as Shigella, Salmonella, Yersinia, Escherichia coli, Campylobacter) and viruses (adenovirus, enterovirus, and hepatitis A, B, and C). Syndromes that could explain his high fever, abdominal pain, rash, and ocular symptoms also included autoimmune and vasculitis diseases. The Table provides the working differential diagnosis. The Pediatric Infectious Disease service was consulted.
The boy continued to have fevers up to 104°F, abdominal pain, poor appetite, and multiple loose non-bloody stools. Repeat labs on day 2 of hospitalization revealed an increased CRP to 20.13 with slightly improved total bilirubin level of 6.9 and an even lower albumin level of 2.3. His initial stool testing was positive for enteropathogenic E coli (EPEC) by polymerase chain reaction (PCR), and he was continued on empiric piperacillin and tazobactam for presumed bacterial enteritis.
On day 5 of illness, (corresponding to hospital day 2), the patient’s CRP was decreased from admission but still elevated at 12.54. He met clinical criteria for the diagnosis of Kawasaki disease (KD) and was started on high-dose aspirin and IV immunoglobulin (IVIG). Given the concern for coronary artery dilatation with KD, an echocardiogram (ECHO) was performed but was negative for coronary artery changes.
After 1 dose of IVIG, he defervesced and had improvement in appetite and abdominal pain. His liver function tests showed steady improvement with a discharge total bilirubin level of 1.3. Urine and blood cultures remained sterile. Once he was afebrile for 48 hours, the antibiotics were discontinued, aspirin dose was decreased, and he was discharged home. A follow-up stool culture was negative, so the Pediatric Infectious Disease team determined that the E coli detected on the stool PCR study was a colonizing organism and not a true infection.
Hospital course 2
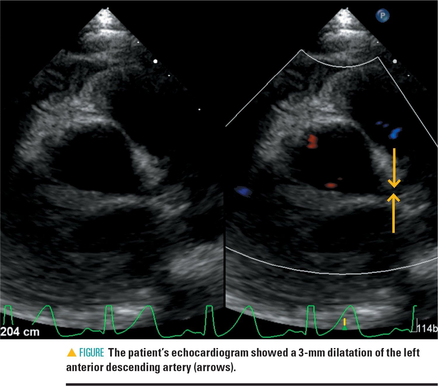
The day after discharge, the patient again began complaining of abdominal pain. He also developed a fever of 101°F and conjunctival injection, so his family returned to the ED. Laboratories at that time were remarkable for an elevated CRP (from 4.79 on his discharge day to 5.68) but stable liver function tests. He was given a second dose of IVIG and restarted on high-dose aspirin. A repeat ECHO showed a 3-mm dilatation of the left anterior descending artery (Figure).
The next day, his CRP trended down to 4.07. On the third day of this admission, his temperature increased to 100.3°F, so he was treated with a third dose of IVIG. He was observed in the hospital for an additional 72 hours.
Patient outcome
Following his third dose of IVIG, the patient did not have any further fever. His rash, conjunctival injection, abdominal pain, and loose stools fully resolved, but he did develop periungual peeling of his fingers. His transaminases normalized, and his hyperbilirubinemia resolved. He was discharged home on low-dose aspirin and close follow-up with Cardiology. He continued on low-dose aspirin for 6 months as the ectasia of his coronary arteries was slow to resolve.
Discussion
Kawasaki disease was first described by Dr. Tomisaku Kawasaki in Japan in 1967. It is an acute, self-limited, inflammatory vasculitis that affects small and medium-sized arteries and occurs primarily in children aged younger than 5 years. The arteritis particularly affects the coronary arteries, which can lead to an increased risk of coronary artery disease as the child ages.
In the pre-IVIG era, 25% of patients with KD who received only aspirin had a coronary aneurysm. Those without abnormal findings at their first angiogram never developed any abnormal cardiac findings.1 Currently, 5% of children treated with IVIG and aspirin will still develop coronary artery lesions that lead to an increased mortality rate and that are associated with late coronary events or sudden death. Kawasaki disease is also the leading cause of childhood-acquired heart disease in developed countries.2
Diagnosis of KD is based on meeting 5 of 6 clinical criteria: fever for at least 5 days; bilateral nonexudative conjunctivitis; erythema of the lips/oral mucosa; extremity changes; rash; and cervical lymphadenopathy.3 In this case, the patient initially met 4 of the 6 clinical findings (fever, conjunctivitis, mucosal redness, hand/foot redness and rash). His labs also showed sterile pyuria and an increased CRP-associated findings in KD but not diagnostic. Because the clinical symptoms typically develop over the course of a week or more, supportive laboratory findings are often used to make the diagnosis of typical or incomplete KD.
The treatment goal in the acute phase of KD involves decreasing inflammation in the coronary artery wall and preventing coronary thrombosis by giving IVIG and high-dose aspirin. Long-term therapy in patients with coronary aneurysms is aimed at preventing myocardial infarction or ischemia by long-term low-dose aspirin therapy and close surveillance by Pediatric Cardiology.3
Gastrointestinal symptoms accompany the typical presentation in up to 20% of cases, the most frequently referenced being hydrops of the gall bladder.4 Such GI symptoms can confuse the initial presentation. Other illnesses or diseases that can fully explain the symptomatology must be ruled out before KD can be diagnosed. This child’s presentation was complicated by his jaundice, diarrhea, and abdominal pain. The initial positive stool PCR led to a high suspicion for bacterial enteritis but was ruled out once the repeat stool culture was negative.
Important takeaways
The important learning point from this case is that children with KD and prominent GI or hepatobiliary involvement appear to be at a higher risk for IVIG failure2,5 such as occurred in this child. Patients with at least 1 abnormal liver panel test result (aspartate aminotransferase [AST], ALT, gamma-glutamyl transferase [GGT], or bilirubin in- crease) presented earlier than children without abnormal liver panel tests and were 13% more likely (22% vs 9%, respectively) to be nonresponsive to IVIG.5 The etiology of liver function test abnormalities is unclear, but hypotheses include generalized inflammation, vasculitis, congestive heart failure secondary to myocarditis, use of nonsteroidal anti-inflammatory medications (to decrease fever), toxin-mediated effects, or a combination of the above.6 Furthermore, ultrasound findings of gall bladder disease in the acute phase of KD, especially the presence of gall bladder distention, might be an important risk factor for coronary artery abnormalities as a complication.
Although this patient did not manifest gall bladder disease specifically, he did have hepatobiliary disease and developed coronary artery dilatation and impaired IVIG responsiveness. His long-term prognosis is worrisome for early coronary artery disease and he will require monitoring throughout his life.
References:
1. Kato H, Sugimura T, Akagi T, et al. Long-term consequences of Kawasaki disease. A 10- to 21-year follow-up study of 594 patients. Circulation. 1996;94(6):1379-1385.
2. Liu L, Yin W, Wang R, Sun D, He X, Ding Y. The prognostic role of abnormal liver function in IVIG unresponsiveness in Kawasaki disease: a meta-analysis. Inflamm. Res. 2016;65(2):161-168.
3. Newburger JW, Takahashi M, Gerber MA, et al; Committee on Rheumatic Fever, Endocarditis, and Kawasaki Disease; Council on Cardiovascular Disease in the Young; American Heart Association. Diagnosis, treatment, and long-term management of Kawasaki disease: a statement for health professionals from the Committee on Rheumatic Fever, Endocarditis, and Kawasaki Disease, Council on Cardiovascular Disease in the Young, American Heart Association. Pediatrics. 2004;114(6):1708-1733.
4. Falcini F, Resti M, Azzari C, Simonini G, Veltroni M, Lionetti P. Acute febrile cholestasis as an inaugural manifestation of Kawasaki’s disease. Clin Exp Rheumatol. 2000;18(6):779-780.
5. Eladawy M, Dominguez SR, Anderson MS, Glodé MP. Abnormal liver panel in acute Kawasaki disease. Pediatr Infect Dis J. 2011;30(2):141-144.
6. Yi DY, Kim JY, Choi EY, Choi JY, Yang HR. Hepatobiliary risk factors for clinical outcome of Kawasaki disease in children. BMC Pediatr. 2014;14:51.
Articles in this issue
over 6 years ago
Paradigm shift on peanut introduction tough to swallowover 6 years ago
Autism linked to mental, neurologic disorders in family membersover 6 years ago
CBD oil’s effect may wane in managing seizuresover 6 years ago
What to do in neurologic emergenciesover 6 years ago
Provider recommendations increase HPV vaccinationsover 6 years ago
Evolution of pediatric drug developmentover 6 years ago
Diffuse rash spreads from infant’s scalp to extremitiesover 6 years ago
Maternal cotinine levels linked to ADHD in offspringNewsletter
Access practical, evidence-based guidance to support better care for our youngest patients. Join our email list for the latest clinical updates.














