
A 10-year-old boy presents to your office with sharp right-sided flank pain. The pain began the night before, and the child could produce only a few drops of urine the next morning.

A 10-year-old boy presents to your office with sharp right-sided flank pain. The pain began the night before, and the child could produce only a few drops of urine the next morning.

A 4-year-old boy who is new to your practice presents for a well-child visit. His parents report that he has had brownish patches on his torso and back since early infancy. The lesions have decreased in size and number as he has aged. The rash is intermittently pruritic, especially when anyone touches the individual lesions.

In the course of studying azithromycin as a treatment for pityriasis rosea (PR) which we found does not work, we collected much data on the distribution, morphology, and course of the lesions.

A female infant born at 29 weeks' gestation after premature membrane rupture was admitted to the neonatal ICU in respiratory distress.

In this age of evidence-based medicine and randomized clinical trials, it is easy to forget that careful clinical observation and documentation are the foundation of medical practice.

Warning: this is a column about political correctness. If you find it impossible to be judgmental in any situation, or are incapable of offering decisive opinions about anything, you are advised to go no further-your feelings will be hurt.

Primary care pediatric providers are instrumental in educating new parents about how to prevent the development or progression of plagiocephaly.

A 4-year-old boy was referred for evaluation of refractory eczema that first appeared at 1 month of age.

The family of a 3-year-old girl was concerned about a painful lump in her right palm that they suspected was the result of a spider bite.

For 2 weeks, this 13-year-old girl felt tired and achy. She had persistent fevers (temperature up to 38.8°C [102°F]) and an erythematous facial rash above her eyebrows that extended to her cheeks and nasal bridge and spared the nasolabial folds.

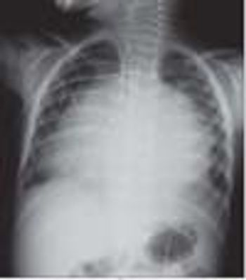
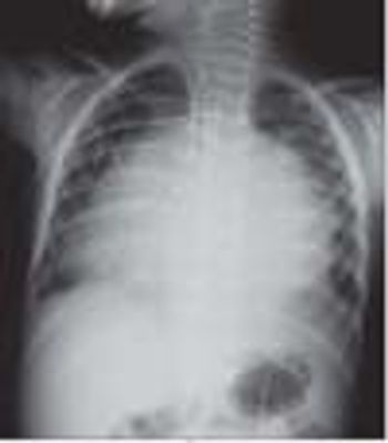
A 3-year-old boy with chest pain and trouble breathing that had developed over the past 24 hours was brought to the emergency department. The parents reported that his most prominent symptom was a cough. The chest pain appeared to worsen with coughing. He had undergone open atrial septal defect repair about 3 weeks before presentation.