
Purpuric pustules can present diagnostic challenges. However, the ability to correctly identify these lesions can be of crucial-even lifesaving-importance in caring for ill children.

Purpuric pustules can present diagnostic challenges. However, the ability to correctly identify these lesions can be of crucial-even lifesaving-importance in caring for ill children.

This well-formed, enlarged second digit on the right foot of a 2-day-old girl was noted at birth. All other digits were of normal size. The distal portion of the digit is deviated medially with a diminished triangular matrix unguis. No other musculoskeletal anomalies are apparent. There is no family history of congenital malformations or deformations.

Erythematous pustules and papules with some coalescence developed on the anterior trunk and to a lesser degree on the face and extremities of a newborn boy the day after birth. The baby was born at full term after an uncomplicated pregnancy and delivery.

A 15-year-old boy presented with a “string” protruding about 5 cm from his anus. He had had abdominal cramping that morning, prompting a bowel movement. After the stool, he passed a meter-long object that broke into the toilet. He attempted to remove the remaining “string,” but pulling on it induced left lower quadrant abdominal pain. He denied purposefully ingesting nonfood objects, choking, or chewing anything unusual. He also denied inserting anything or having anything inserted into his anus. He was otherwise healthy and had no significant medical or family history.

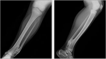
An apparently healthy 9-year-old girl noted to have left ankle mass during well-child checkup. Her last well-child visit was 3 years earlier. Medical history unremarkable. She denied fevers, weight loss, night sweats, and chills. No family history of bone deformities or growth disturbances.

Few clinical scenarios engender as much anxiety as the sudden onset of rash and fever in a child. However, the diagnostic possibilities can be quickly narrowed-and the likelihood of potentially serious disease can be assessed-with a triage system that involves classifying the presenting symptoms into 1 of 3 groups.

The authors state that the adolescent daughter of the mother who was making inquiries “was given a prescription for a hormonal contraceptive.”

“My 8–year–old son has always had trouble falling asleep. He never falls asleep before 11 PM, even on school nights. Is there anything you can prescribe so he can get to sleep earlier?”

A 10-week-old white baby girl with a history of difficulty in breathing presented with stridor, tachypnea, wheezing, and increased work of breathing.