
Here’s solid advice for what to do when your online healthcare advocacy suffers harassment and false reviews.

Here’s solid advice for what to do when your online healthcare advocacy suffers harassment and false reviews.

Challenges at home can impact one’s work and contribute to physician burnout.


Pediatricians deal daily with parent and patient refusals of recommended care. Here’s how to protect yourself and your practice from legal repercussions.

Frequently sending texts to caregivers with messages about infant development, safety, and basic care reduces the number of visits to the emergency department (ED) in the first year of life, according to a new study conducted in a large urban pediatric care practice that serves a low-income population with limited health literacy.

Respiratory syncytial virus (RSV) and Influenza are responsible for significant morbidity and mortality in children. Pediatricians must step up vigilance to ensure early diagnosis and treatment.

Scientific evidence supporting the efficacy and safety of adjuvant cannabidiol use for specific pediatric seizures is accumulating, but long-term effects of use are still unknown.

Women who use marijuana while breastfeeding produce breast milk with a measurable amount of the primary psychoactive ingredient in marijuana, delta-9-tetrahydrocannabinol (delta 9-THC), for up to 6 days since they last smoked. This was the primary finding in a study in 50 breastfeeding women who reported using marijuana and provided breast milk samples to a research repository for analysis.

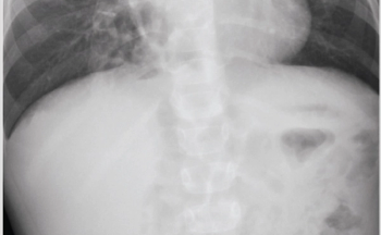
A previously healthy 4-year-old male, born late preterm by urgent cesarean delivery with an uncomplicated postnatal course, presents to the outpatient clinic for a chief complaint of worsening cough over the past 5 months. He denies current fever, rhinorrhea, shortness of breath, diarrhea, or vomiting. His cough has been worsening in severity and frequency, and mostly occurs during the daytime.

The menstrual cycle can be an important vital sign providing pediatricians with valuable information about health and disease among girls and young women.

An 8-year-old boy is brought to the office for evaluation of a persistent itchy rash on his extremities, trunk, and face. Although the rash has been present for longer than 3 months, individual skin lesions change from hour to hour and occasionally the rash clears completely only to recur several hours later. He is otherwise healthy with no known allergies, changes in diet, medication use, or recent illness.

Sudden unexplained death in childhood (SUDC)-it happened to my family.

Two pediatricians discuss the 10 commandments of obesity prevention for children and where the focus for treating obesity in childhood should be.


Many times, testing seems to be the easiest way to answer a clinical question, but judicious use of tests is the best approach. Here are some guidelines I have followed over the years.

For Contemporary Pediatrics, Erin Bastick, PharmD, sat down with Roberta Michnick Golinkoff, PhD, to discuss the importance of play in a child's development and how pediatricians can help ensure that kids get what they need.

Concussions and other mild traumatic brain injuries are a fairly common issue in pediatric practice. For the first time, the CDC is offering evidence-based guidance to standardize diagnosis and management.

The American Academy of Pediatrics (AAP) now recommends that children remain rear-facing as long as their car seat allows.

‘Quality diagnostic reasoning’ curbs medical diagnostic errors.

A new study has identified a higher risk of severe respiratory syncytial virus (RSV) infection-with higher hospitalization and mortality rates-in children with Down syndrome.

Cigarette marketing has come a long way since the glamour ads of the past, Joe Camel, and the Marlboro Man, but there are new challenges on the horizon-fighting the international reach of social media campaigns and a rise in the use of e-cigarettes by teenagers.

A new report offers the definitive finding of any connection between prenatal Tdap vaccination and autism.

A new study reviewed rates of sexual activity and condom use in states that have passed legislation on HPV vaccine education. Here’s what researchers found regarding the prevalence of risky behaviors.

Pediatricians must suspect Kawasaki disease (KD) in children with prolonged unexplained fever. This article reviews the latest scientific statement on KD from the American Heart Association that is of practical importance for all clinicians.

Pediatricians need to document visits correctly to ensure continuity of care and to bill appropriately. Are you confident your office notes will pass muster with those inevitable insurance company audits?

A previously healthy 8-year-old boy presents to the dermatology clinic with a progressively worsening elbow rash over the course of the last week. The rash does not itch. He spent the previous weekend sailing on the Chesapeake Bay. His pediatrician prescribed a course of cephalexin as well as a trial of topical antiviral ointment, neither of which improved the rash. The patient denies any other new exposures.

By the time most of us become parents, we have been pediatricians for a while and do not find parenting all that scary. To get the right dose of empathy, think back to when we first started handling babies-in medical school. Here are some things I tell new parents.


At a minimum, the pediatrician should be familiar with genetic disease on the newborn screen and other genetic diseases they may see in their office. It’s also important to recognize the child with multiple medical issues who also may need referral to a genetic or metabolic specialist.

Most parents in a Facebook peer support group for parents using behavioral sleep interventions (BSIs) reported in an online survey that their infant cried significantly less by the end of 1 week of BSI implementation and that they achieved complete success within 2 weeks, regardless of which type of BSI they used.