
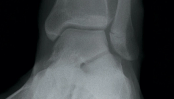
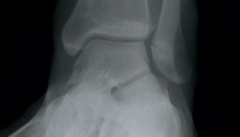
A 15-year-old adolescent Caucasian male with no significant past medical history presented to the clinic with gradually worsening left ankle pain over the past 2 weeks, ever since he started his football practice. He complained of dull aching pain at the lower end of his left leg for the past 4 months, which was slightly relieved by over-the-counter nonsteroidal anti-inflammatory drugs (NSAIDs). He twisted his left ankle and noticed further worsening pain, which prompted this doctor visit.


























