
Minimal access surgery is the fastest-growing area of surgical innovation, and children certainly benefit from procedures previously associated with more invasive approaches.

Minimal access surgery is the fastest-growing area of surgical innovation, and children certainly benefit from procedures previously associated with more invasive approaches.

The president of the American Academy of Pediatrics told a Senate committee that childhood trauma, including abuse and neglect, might be the leading cause of poor health among US adults.



TALK NERDY TO US TAKE OUR TECH SURVEY FOR A CHANCE AT $500! What are physicians saying, thinking - and doing - when it comes to implementing office technologies? Help us to help you find out by completing our easy survey. We are working with our sister site, PhysiciansPractice.com, to learn all about it -- and we're willing to pay. Just go to the 2012 Tech Survey to complete our easy survey, and enter to win a $500 Visa gift card. It only takes five minutes. The contest will run through February 29th. No purchase is necessary. Void where prohibited. See official rules for full details, available here. Thank you for your participation!


Infants who are immunized in the afternoon sleep better during the first 24 hours after immunization than those immunized earlier in the day, particularly if they have elevated temperatures.

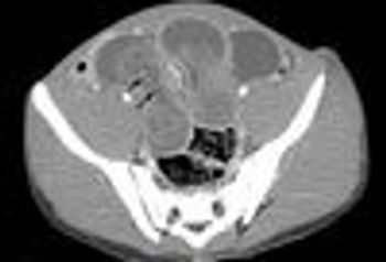
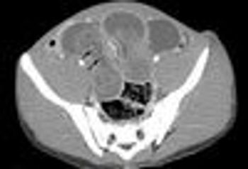
A 22-month-old boy with failure to thrive presented with a 3-day history of rhinorrhea, fever, and abdominal pain associated with tube feeding. A PEG tube had been placed 2 months before this visit.

A 3-year-old child was brought to her primary caregiver by her maternal grandmother who was concerned about the infected lesion shown here. The child was at the center of a heated custody dispute and abuse was strongly suspected. But could the lesion’s origin be something else?

Disordered eating in boys : Beyond the 3 classifications in the DSM-IV Our Picks : Best new tech products Dermcase : Circular, scabby lesions in infant Puzzler : Agitation, seizures spell trouble for preteen boy Updates : Pneumococcal Vaccine, Oral Antiepileptics, Cholesterol Screening, Origins of Autism, Recurrent PID

Premature infants with the AB blood type who develop necrotizing enterocolitis are nearly 3 times more likely to die from it as preemies with other blood types, according to a recent study. A straightforward change in blood transfusion practice can reduce mortality, however. What do the researchers recommend?

Here’s a way to help your female teenagers avoid athletic injuries: During their sports physicals, tell them and their parents that coach-led neuromuscular warm-ups have been shown to reduce anterior cruciate ligament (ACL) and other leg injuries in teen girls who play soccer and basketball. Find out what a dramatic difference warm-ups made and how cost-effective they are.

Is lack of confidence keeping you from reporting possible child abuse? A new study suggests that could be the case. What other factors prevented pediatricians and other PCPs from reporting suspected child abuse?

Using a simple, nonfasting blood test to screen children for diabetes may be too good to be true. A new study found that hemoglobin A1c is not very effective for diagnosing diabetes in children and misses as many as 2 out of 3 cases. What tests did the researchers recommend instead?

Although current clinical guidelines call for daily low-dose inhaled corticosteroid treatment for preschoolers who have recurrent wheezing and are at risk for developing asthma, that may not be the best course of action. You might be surprised at how few times a year treatment was necessary for respiratory symptoms that had caused wheezing in the past.

With 10 cases this year of swine-origin influenza reported, mostly in children, the CDC is urging pediatricians to screen patients presenting with fever and respiratory symptoms for contact with swine. It also said you shouldn’t rely on commercially available diagnostic tests to tell the difference between swine flu and seasonal influenza A viruses. Here’s why.

A 22-month-old boy with failure to thrive presented with a 3-day history of rhinorrhea, fever, and abdominal pain associated with tube feeding. A PEG tube had been placed 2 months before this visit.



Pediatric Compensation 2011Is your compensation keeping pace with that of your fellow pediatricians? We surveyed practicing pediatricians all across the country about their compensation and overall health of their practices. See what they said, then join the conversation about how your practice is different.

• Abdominal Muscle Deficiency Syndrome • Branchio-Oto-Renal syndrome • Cerebral Gigantism • Cerebral Palsy • Chronic Granulomatous Disease • Duchenne Muscular Dystrophy • Eagle-Barrett Syndrome • Fetal Alcohol Syndrome (1) (2) • Fibrodysplasia Ossificans Progressiva • Fragile X Syndrome (1) (2) (3) • Hunter Syndrome • Iliac Horn Syndrome • Juvenile Hemochromatosis • Klippel-Trenaunay Syndrome • LEOPARD Syndrome • Mowat-Wilson Syndrome • Onycho-Osteodysplasia • Organic Acidemia • Prune Belly Syndrome • Russel Silver Syndrome • Sotos Syndrome • Triad Syndrome • Trisomy 13 • Turner-Keiser Syndrome • Williams Syndrome

Image Gently : Is overuse of CT scans harming our children? FDA's new role in tobacco control : Guidance to empower youth to say no There's an app for that : Best mobile medical applications for pediatricians Dermcase : Squiggly blue line on dorsal foot Puzzler : Newborn not having very swell time Updates : Acyclovir and HSV, Substance abuse screening, PPIs for suspected infant GERD, Glucocorticoids and preterm infants, community-acquired Pneumonia

Glucocorticoids may affect cerebellar development in preterm newborns and thus should be used with caution in this population, say researchers in a new study of glucocorticoid exposure in neonates.

Discover how FDA's new Center for Tobacco Products is helping parents and you keep kids away from tobacco and tobacco-related products.

A study in more than 200 boys and girls undermines the common belief that a lack of physical activity leads to childhood obesity.

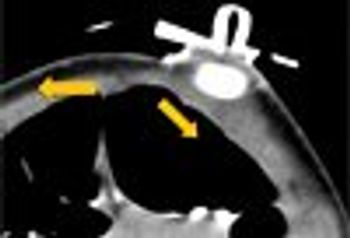
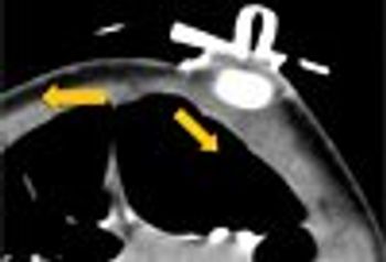
With the ability to more accurately diagnose acute injuries in the emergency department, it is no wonder that the use of computed tomography scanning has increased over the past decades.

The author recalls the first time she ordered a CT scan in the mid-1970s.

The emergency department pages you about a 1-month-old girl recently transferred from an outside hospital for further evaluation of swelling over her posterior scalp.

Pediatricians have become avid users of smartphone and tablet technology in their personal and professional lives. With many more apps to come, find here our picks for the most useful of the current batch.

Investigators designed a study to enhance understanding of the cis-regulatory sequences of the ?-globin locus required for silencing or activation of fetal hemoglobin.