
Airway blockages are associated with high mortality rates, a new study shows.

New data underscore importance of discussing sex, STIs sooner rather than later.

I’d like to increase my hours at my job from part-time to full-time when my son starts middle school. He’d be home by himself for an hour and a half between the end of his afterschool program and the time I’d be back from work. Do you think he’s old enough to be home alone for that time?

Dr John Harrington’s Photoclinic case of a young girl who sustained a gunshot wound in a drive-by shooting highlighted a very important topic.

"Don’t post information about yourself online that you don’t want the whole world to know." In the 21st century, this safety rule is as important as the older “don’t talk to strangers” and “look both ways before crossing the street.” If you remember nothing else about Internet safety, remember this.

A 16-year-old boy presented for evaluation of his worsening behavior at school. He was very hyperactive and had difficulty in paying attention. He had always required help with reading and language. Maternal pregnancy and birth history were unremarkable.

A 2-year-old girl was transferred to the pediatric ICU from a nearby community hospital because of nonremitting, generalized abdominal pain associated with fever and vomiting. Her symptoms had begun 3 days earlier and had progressively worsened despite treatment with antibiotics, pain medication, and fluids.

Obstructive sleep apnea (OSA) has a high prevalence in the pediatric population and is associated with significant morbidity, both physical and in the realms of development, cognition, behavior, and school performance.

“Texting,” “tweeting,” “friending,” “IMing.” Many physicians have heard their teenaged patients use these terms to describe how they communicate with their peers.

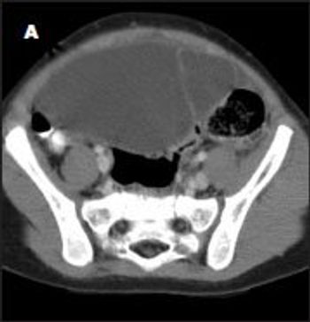
A 20-month-old boy brought to the emergency department with swelling on the right side of the neck and fever (temperature, 39.3°C [102.7°F]) of 1 day’s duration. The parents reported that the child had had intermittent fevers and poor weight gain for the past 3 months but no vomiting, diarrhea, rash, drooling, or difficulty in swallowing.

Managing chronic daily headaches : How to help teens get their lives back Puzzler : Toddler suffers from emesis and weight loss Dermcase : Boy breaks out in body rash Engaging the depressed adolescent

A 13-month-old girl with vomiting and cough is admitted through the emergency department for failure to thrive.

Daiichi-Sankyo's agent olmesartan (Benicar) has been approved by the FDA for the treatment of hypertension in patients aged 6 to 16 years.

With no standard definition of the term, "concussion," particularly with regard to children, investigators examined the clinical correlates of the concussion diagnosis and identified factors that lead clinicians to use the term.

A 5-year-old boy has a total body, red, bumpy rash.

Recognition of the prevalence of adolescent depression has increased pediatricians' interest in diagnosing this condition.

It sometimes can be difficult for maturing pediatricians to maintain the level of confidence in their talents that they had when they left residency.

Survivors of childhood cancers who received therapeutic radiation to the head or neck have an increased risk of stroke later in life that requires vigilant surveillance and monitoring.

Infants in the United States still may not be getting enough vitamin D in their diet or daily environment, according to new findings.

Pfizer's pneumococcal 13-variant conjugate vaccine (Prevnar 13) was approved by the FDA for active immunization of children aged 6 weeks through 5 years for the prevention of invasive disease caused by 13 Streptococcus pneumoniae serotypes.

Children with psoriasis may be more prone to experiencing psychiatric disorders such as anxiety or depression, compared with young people who do not have the skin issue, new research indicates.

A new report suggests that SIDS is associated with a defect in 1 or more components of the medullary 5-hydroxytryptamine system.

The longer children sleep at night, the less likely they will experience faulty regulation of heart rhythm while sleeping.

A common question in our profession is: "Why did this child develop this disease at this time?"

In an analysis of three common antiseizure medications used to treat absence epilepsy in children, ethosuxomide was associated with the best outcomes overall, compared with lamotrigine and valproic acid.

During the 2005-2006 school year, the New York City Department of Education removed whole milk from cafeterias in all the city's public schools.

Healthcare teams at several Massachusetts community health centers are trying out a "third way" for treating obesity in the primary care setting.

A 14-year-old girl comes to your office complaining of having a headache every day for the last 3 months.

A brief bout of hearing loss during childhood can result in chronic hearing deficits in later years, according to research.

A 51⁄2 -year-old girl was brought to her pediatrician’s office by her mother, who reported that her daughter had a 1-week history of nasal congestion, intermittent fever, and cough that was worse in the morning and at night. The child was alert and smiling and appeared to be in no apparent distress.