
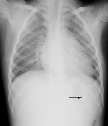
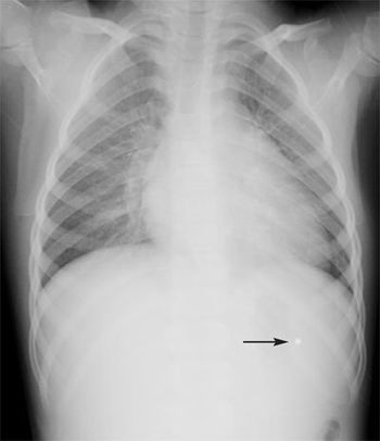
A 5-year-old girl was brought to the emergency department after she was injured during a drive-by shooting. She had 5 small entry wounds: 2 in the arm, 2 in the buttocks, and 1 in the left torso. Radiographs confirmed that a piece of pellet had entered her upper torso but was not in the lung or causing any problem.




